久しぶりのフラワーアレンジメント Posted on 9月 4, 2013 by 井上真弓 in 新着情報 9月に入り残暑もようやく和らぎ、そろそろ秋の虫たちの声も聞こえてまいりました。 さて久しぶりのフラワーアレンジメントです。 お花の色合いも秋らしくなってきました。... Read more No comments
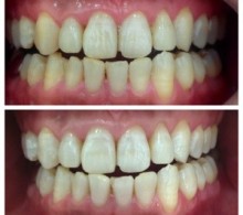
オフィスホワイトニングその後のその後 Posted on 8月 28, 2013 by 井上真弓 in 新着情報 オフィスホワイトニングを2回終了された患者様のその後です。 2回目のホワイトニングをした日から1日程ジーンとしみたと言っておられました。 白さはご満足いただき喜んでくださいました。 (さらに…)... Read more No comments
セミナー Posted on 8月 27, 2013 by 井上真弓 in 新着情報 残暑お見舞い申し上げます。 ここ数日すごい雨続きで暑さが少し和らいだような気がします。 さて、先週の土曜日は有子先生と2人セミナー受講のため、天神へ行ってきました。 (さらに…)... Read more No comments
お盆休みのお知らせ Posted on 7月 31, 2013 by 井上真弓 in 新着情報 早いもので8月にはいりました。 さて今日は夏季休診(お盆休み)のお知らせです。 8月14日(水)から8月18日(日)まで休診させていただきます。 大変ご迷惑をおかけしますが、ご了承いただきますようお願い申し上げます。 (さらに…)... Read more No comments
毎月末のスタッフ勉強会と機械メンテナンス Posted on 7月 31, 2013 by 井上真弓 in 新着情報 ふるやしき歯科では毎月月末の午後を休診とさせていただきスタッフの勉強会を行なっております。 患者様には大変ご迷惑をおかけしますが、スタッフの知識向上と技術向上のために必要な時間だと思っております。 (さらに…)... Read more No comments