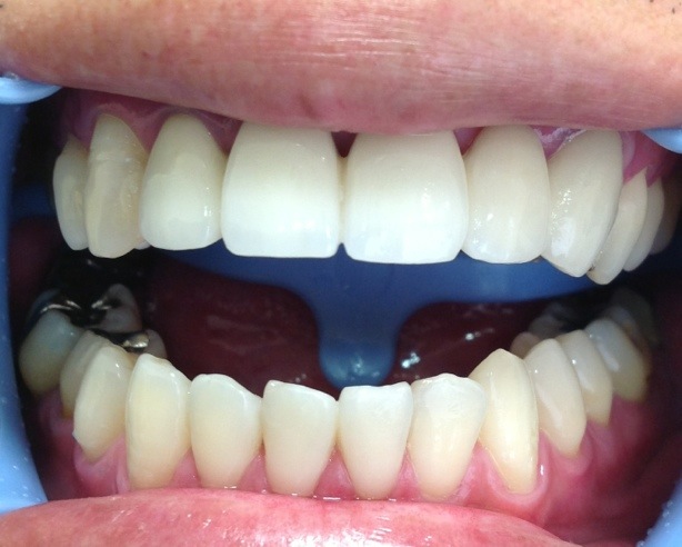
患者Oさん、上の前歯の変色(差し歯)と、真ん中がすいてきたという主訴でふるやしき歯科を来院されました。

歯ぐきの状態があまり良くなかったので、まず歯石を取らせていただき歯ぐきが引き締まるまで仮歯で過ごしてもらいました。
自費のオールセラミックの歯を入れていただくことになり、歯ぐきの状態が良好になってからは形や色をOさんとたくさん話し合いながら決めていきました。

綺麗な白い歯が入り、Oさんも大満足でした。
でも、下の歯の黄ばみが気になられるようになり…。
オフィスホワイトニングまでさせていただきました。
またまた満足していただき、周りの方からも「歯がきれい」と言われたそうです。
期間はかかってしまったけれど、Oさんに満足していただくことができ、私達も嬉しく思います。
ビフォーアフター!

