前歯

「ずっと気になっていた歯を綺麗にしてもらってよかった」

と、患者様から嬉しいお言葉をいただきました。

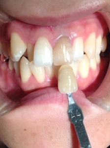
この患者様は上の前歯の神経を1本とっていらっしゃって変色をずっと気にされていました。

20131031-140448.jpg

今月保険外のガラスセラミックの被せ物を入れさせていただきました。

とても喜んでいただいて私達スタッフもうれしくなりました。
Before、Afterです。

20131031-141958.jpg

Written by