11月のフラワーアレンジメント Posted on 11月 5, 2013 by 井上真弓 in 新着情報 今日新しいフラワーアレンジメントが届きましたよ。 (さらに…)... Read more No comments
ホームホワイトニング Posted on 10月 31, 2013 by 井上真弓 in 新着情報 定期的にホームホワイトニングのジェルを買いにいらしている患者様です。 (さらに…)... Read more No comments
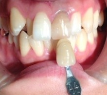
前歯 Posted on 10月 31, 2013 by 井上真弓 in 新着情報 「ずっと気になっていた歯を綺麗にしてもらってよかった」 と、患者様から嬉しいお言葉をいただきました。 この患者様は上の前歯の神経を1本とっていらっしゃって変色をずっと気にされていました。 (さらに…)... Read more No comments
ジャンボ Posted on 10月 21, 2013 by 井上真弓 in 新着情報 実りの秋。 ふるやしき歯科がある荒尾市はジャンボ梨がすごく有名です。 今年も立派な梨が実ってます。 (さらに…)... Read more No comments
フラワーアレンジメント Posted on 10月 18, 2013 by 井上真弓 in 新着情報 ハロウィンアレンジ2です。 前回と全く違ったアレンジの仕方で、今回もすごく可愛らしいですよ! (さらに…)... Read more No comments