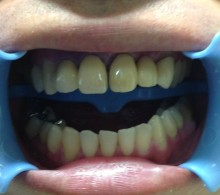
今回はオフィスホワイトニングのビフォーアフターです。
最近、男性でホワイトニングをされる方が増えています。
今回は顔出しでご紹介しますね。
ふるやしき歯科に来ていただき、ビヨンドホワイトニング(10分×3回)を行いました。
歯が白くなると清潔感が増しますね。...
Read more No comments
ふるやしき歯科に来ていただき、ビヨンドホワイトニング(10分×3回)を行いました。
歯が白くなると清潔感が増しますね。... 





